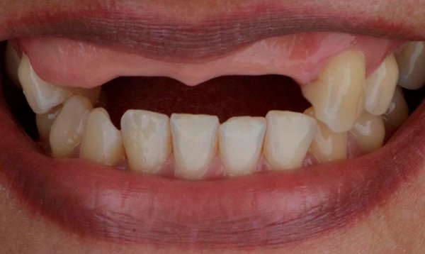
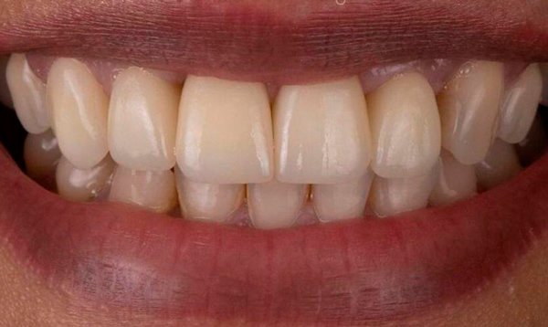
Conheça o tratamento com implantes dentários que pode devolver seus dentes fixos em apenas 72 horas e sem a necessidade de enxertos ósseos.
Utilizamos uma técnica conhecida internacionalmente, chamada “All-On-4”. Este tipo de implante permite reabilitar pacientes que perderam todos os seus dentes, em apenas 72 horas, utilizando menos implantes do que outras técnicas utilizam e sem a necessidade de enxertos ósseos.




Possibilidade de dentes fixos em 72 horas
Sem a necessidade de enxertos ósseos
Tempo de tratamento reduzido
A Clínica Toyomoto se destaca por sua abordagem humanizada, comprometida com a prestação de serviços odontológicos de alta qualidade e uma abordagem multidisciplinar.
A clínica se dedica a fornecer tratamentos odontológicos excelentes, priorizando a confiabilidade e respeitando as necessidades individuais de cada paciente.
Além disso, a Clínica Toyomoto se esforça para criar um ambiente confortável e seguro, onde os pacientes se sintam bem-vindos e confiantes.










Temos dezenas de casos onde nossos pacientes passaram pela reabilitação total com implantes dentários, ou fizeram apenas prótese protocolo superior/inferior. Veja alguns dos resultados.








Na Clínica Toyomoto, acreditamos em uma odontologia personalizada e de alta qualidade, que valoriza o bem-estar e as necessidades individuais de cada paciente.
Nossa equipe multidisciplinar está empenhada em oferecer excelência em tratamentos odontológicos, aliando conhecimento técnico avançado e tecnologia de ponta. Nosso compromisso é proporcionar um ambiente confortável e seguro, onde os pacientes possam se sentir acolhidos e confiantes em sua jornada odontológica.
Desde cuidados preventivos até procedimentos complexos, estamos aqui para oferecer soluções personalizadas que visam melhorar a saúde bucal e transformar sorrisos.











Se você ainda duvida de como o tratamento com implantes dentários pode ser rápido,
veja o que nossos pacientes disseram após realizar o procedimento.
Gleison Oliveira24 Junho 2024 Ótimo Lugar, faço tratamento já tem algum tempo e recomendo, super atenciosos desde a conversa no whatsapp, recepção e Doutora(o) Patrícia De Oliveira14 Junho 2024 Eu super recomendo é um ótimo atendimento . A doutora Letícia é maravilhosa super profissional .vale muito apena Agenor Silva14 Junho 2024 gostei muito de vcs e vc em Care Simone Souza12 Junho 2024 Clínica incrível, profissionais super atenciosos e competentes , atendimento humanizado. Dra Letícia e toda a equipe dlea estão de parabéns. Por mais profissionais como vocês nesse mundo Kestem24 Novembro 2023 minha mãe esta muito feliz com o resultado a clínica tem uma estrutura maravilhosa e os dentistas são muito atenciosos ela esta amando seu novo sorriso ☺ CRISTINA SILVA9 Agosto 2023 Fui hoje na Odonto Special Campo Belo fazer a minha limpeza e restauração, sem palavras para descrever o quanto estou satisfeito e como fui muito bem tratada desde a recepção até as doutoras, a moça da limpeza, todos muito educados e muito simpático, a parte Kids tbm muito top, super indico a clínica. Cesar Jose23 Junho 2023 Atendimento ótimo, médica excelente 😉 Rafael Guimaraes26 Abril 2023 Fui muito bem recepcionado e muito bem atendido pelas doutoras, esclareceram as minhas dúvidas e me deram o passo a passo correto de tratamentos que devo fazer welove modafeminina17 Abril 2023 Atendimento muito bom profissionais e atendentes super atenciosas estão de parabéns 👏🏻
Graduada pela UNESP – Araçatuba em 2007, a Dra. Leticia Toimoto é especialista em Ortodontia, Invisalign® Doctor e especialista em Periodontia.
Há anos é referência em Campo Belo e Vila Mascote, com a filosofia de atendimento humanizado onde o paciente é tratado como único.

Estamos na Av. Santa Catarina, 2005 - Vila Mascote, São Paulo - SP
Utilizamos os Implantes da Neodent, hoje considerado o melhor implante do Brasil, com cicatrização em 50 dias.
Somos referência em Implantes em Campo Belo, Vila Mascote e Região!
TODOS OS DIREITOS RESERVADOS © CLÍNICA TOYOMOTO ODONTOLOGIA